Ulm News, 13.01.2022 13:37
Gebündelte Daten zur Erforschung von COVID-19
schließen
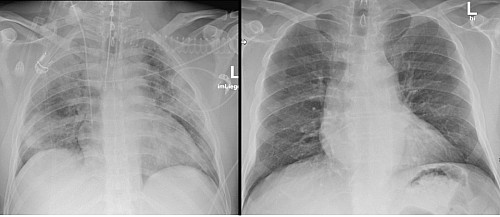
Beschreibung: Fleckige Verschattungen in beiden Lungenlappen als Korrelat der Lungenbeteiligung einer COVID-19-Pneumonie (links) gegenüber einer gesunden Lunge (rechts) erkennen.
Fotograf: uku
Um radiologische Daten von COVID-19 Fällen strukturiert erfassen und verarbeiten zu können, haben die 36 deutschen Universitätskliniken gemeinsam mit dem Deutschen Krebsforschungszentrum, dem Fraunhofer-Institut für Digitale Medien MEVIS Bremen, der TU Darmstadt und der Firma mint Medical GmbH, Heidelberg das radiologische Netzwerk RACOON gegründet. Ziel des bundesweiten Netzwerkes ist es, die Datengrundlage zur Erforschung von COVID-19 sowie anderen vergleichbaren Lungenerkrankungen aufzubauen und voranzutreiben.
Seit Beginn der Corona-Pandemie werden Bildgebungsverfahren – wie Röntgen- oder CT-Aufnahmen – für die Diagnose von SARS-CoV-2 genutzt. Mithilfe radiologischer Bildgebung kann eine Corona-Infektion sicher erkannt und bewertet werden. Zudem sind bildgebende Verfahren schnell und es können präzise Aussagen über die schwere und den Verlauf der Infektion getroffen werden. Um radiologische Daten von COVID-19 Fällen strukturiert erfassen und verarbeiten zu können, haben die 36 deutschen Universitätskliniken gemeinsam mit dem Deutschen Krebsforschungszentrum, dem Fraunhofer-Institut für Digitale Medien MEVIS Bremen, der TU Darmstadt und der Firma mint Medical GmbH, Heidelberg das radiologische Netzwerk RACOON gegründet. Ziel des bundesweiten Netzwerkes ist es, die Datengrundlage zur Erforschung von COVID-19 sowie anderen vergleichbaren Lungenerkrankungen aufzubauen und voranzutreiben. Die gewonnenen Daten sollen zur Weiterentwicklung Künstlicher Intelligenz (KI) verwendet werden. Durch KI-basierte Auswertung der Bildbefunde können schnell umfassende Erkenntnisse gewonnen werden, die zur Bekämpfung der Pandemie und zur bestmöglichen Versorgung von COVID-19- Erkrankten beitragen. Sie stellen zudem eine Basis für Lageeinschätzungen, zur Erstellung von Frühwarnmechanismen und für epidemiologische Studien dar. Im Fokus eigener Forschungsprojekte im RACOON Netzwerk steht am Universitätsklinikum Ulm die Entwicklung und klinische Überprüfung KI-basierter Prädiktionsmodelle für den klinischen Verlauf einer COVID-19 Erkrankung. „Auf dem Röntgenbild wie dem CT-Bild wird die Infektion sichtbar. „Im CT-Bild zeigen sich typischerweise sogenannte milchglasartige Veränderung beider Lungenflügel“, erklärt Professor Meinrad Beer, Ärztlicher Direktor der Klinik für Diagnostische und Interventionelle Radiologie am Universitätsklinikum Ulm (siehe CT-Bild-UKU.jpg). „Die KI wird nun so trainiert, dass sie erkennt wie schwer die Infektion ist und welcher Teil der Lunge befallen ist. Die hierdurch gewonnenen Erkenntnisse stellen einen wichtigen Beitrag zur Optimierung der Therapie von Covid-19-Patient*innen dar“, ergänzt der Radiologe. Auch im Röntgenbild kann man Veränderungen der Lunge bei einer COVID-19-Pneumonie erkennen (siehe Röntgenbilder-UKU.jpg). Mehrere Kliniken und Institute arbeiten am Standort Ulm im Rahmen dieses Forschungsprojektes eng zusammen, so neben der Klinik für Diagnostische und Interventionelle Radiologie die Sektion Klinische Infektiologie der Klinik für Innere Medizin III, das Institut für Virologie, das Institut für Medizinische Mikrobiologie und Hygiene, die Klinik für Innere Medizin II , die Klinik für Anästhesiologie und Intensivmedizin, das Institut für Medieninformatik sowie das Institut für Systembiologie.




Highlight
Weitere Topevents
Frontalcrash auf der B10-Umleitungsstrecke
Ein Frontalzusammenstoß am Montagnachmittag in Ulm führte glücklicherweise nur zu zwei...weiterlesen
Fahrgäste in Furcht: Fremder steigt mit Pistole in Linienbus in Blaustein ein
Heikle Situation für besorgte Fahrgäste in einem Linienbus in Blaustein: sie meldeten am Freitagabend...weiterlesen
Schöne Weihnachtsüberraschung: Spatzen-Verstärkung: werden jetzt Telalovic und Rösch ausgeliehen - und Stoll zurückgeholt? Mit Niko Vukanovic hat heute schon ein Neuer unterschrieben
Das ging ja schnell: Niko Vukancic verstärkt die Spatzen - erster Winterneuzugang - kommen jetzt auch die...weiterlesen
75-Jähriger wird mit seinem Auto von Zug erfasst - er stirbt noch an der Unfallstelle
Wie das Polizeipräsidium Ulm mitteilt, kam am Sonntag für einen Autofahrer bei einem Unfall mit einem...weiterlesen
Ein Glanzlicht des Jahres: in Ulm geboren und die Welt erobert - Hildegard Knef wäre am 28. Dez. 100 Jahre alte geworden für eine - eine Diva
"Ich will alles", am besten "Für mich soll`s rote Rosen" - am 3. April 2025 kam eine feine Biographie...weiterlesen
Fenster fliegt bei Explosion in Ulm beim Brand durch die Häuserfront
Eine heftige Explosion hat am Samstagmorgen eine Wohnung in einem Mehrfamilienhaus im Ulmer Schülinhof...weiterlesen
FWG fordert: Ulmer Weihnachtsmarkt soll länger offen bleiben - morgen am 2. Weih.Feiertag beginnt schon mal der Wintermarkt
Die FWG-Fraktion stellt einen Antrag an die Verwaltung: Prüfung einer dauerhaften Verlängerung der...weiterlesen
Die Gänstorbrücke wird bis 23. Dez. 2025 jeweils in der Nacht voll gesperrt - und weitere Baustellen-News
Das Baustellen-Update der Stadt Ulm führt uns in dieser Woche hinaus auf die A 8, wo mittlerweile...weiterlesen










